
We use cookies to improve your experience. By continuing, you agree to our use of cookies
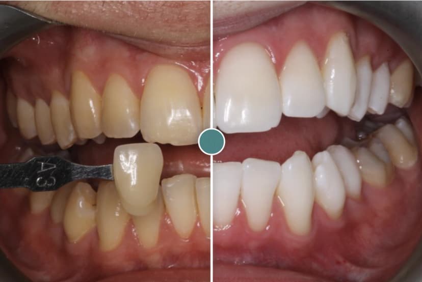
At Silver Oaks Dental we have tried many whitening systems to get a predictable and desirable result for our patients. To date we have found that enlighten whitening delivers the best results consistently. Teeth whitening should only be carried out by a trained professional, our team have the expertise needed to get the results you desire in a safe and satisfaction driven way.

At Silver Oaks Dental we have tried many whitening systems to get a predictable and desirable result for our patients. To date we have found that enlighten whitening delivers the best results consistently. Teeth whitening should only be carried out by a trained professional, our team have the expertise needed to get the results you desire in a safe and satisfaction driven way.
We also offer safe to use home kits. The advantages of the home kit is that it enables you to ‘top-up’ your whitening as and when you feel the need at a fraction of the cost and also giving you more control on your result.







Precision, Artistry, and Confidence – Beautiful Smiles with Porcelain Veneers.