

We use cookies to improve your experience. By continuing, you agree to our use of cookies
MEET
My name is Dr Vasantha Eatha and I am delighted and honoured to be introduced as Principal Dentist at Silver Oaks Dental Practice.
I look forward to providing a quality and caring service to all my patients. I am a General Dental Practitioner with a Post Graduate Diplomas in Aesthetic Dentistry and Implant Dentistry. I have a special interest in Periodontics, Implants, I am also an accredited Invisalign® Orthodontics Provider. I have 8 years of dental experience and have done several courses to increase my dental expertise. I take great pride in delivering personalised care and bring a wealth of experience in cosmetic dentistry to Silver Oaks.
I will be using the most updated dental techniques and technology for my treatments and use my dental experience in preserving your beautiful, natural smiles. I will be sharing Dr Neren Naidoo’s gentle, open approach, and ethical values, and work hard to bring new treatment options and additional patient care support.

WHY US

Trained Anxiety Support
Affordable Dental Treatments
Care For The Whole Family
Emergency Dental Care
NEW HERE
We welcome all new patients to Silver Oaks Dental no matter how long it is since you last visited a dentist or how nervous you are . A new patient appointment allows us the time only to do a full examination, but to get to know you, discuss any questions or concerns and explain any treatment plan. our new patient appointment charge is inclusive!
If you would like to book appointment, find out more about the practice or chat about your teeth and smile please feel free to phone or email us using details below. Or complete our handy contact form and we'll be in touch as soon as we can.

We offer flexible finance options for our treatments. Use our finance calculator through our partner, Tabeo, to explore your options. Finance is subject to credit and affordability checks for UK residents aged 18–79.
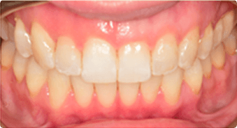
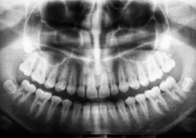
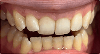
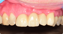
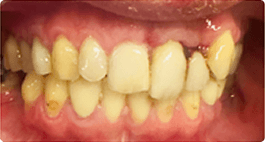
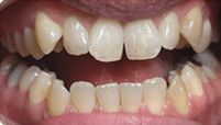
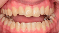
GALLERY
FAQ
Our team is always available to provide clear, honest answers about your dental care. No question is too small — we’re here to help you make confident, informed decisions about your smile.

OUR BLOG
Good dental hygiene practices are the key to maintaining bright, beautiful, white smiles. Scroll or swipe down for some great tips.